Radiologie dentară: CBCT-3D, TELERADIOGRAFIE, PANORAMICĂ, RETROALVEOLARĂ.
Cu o experiență de peste 9 ani în radiologie dentară, suntem mândrii că putem oferi cel mai ridicat nivel de servicii de imagistică dentară digitală din Maramureș.
Vă prezentăm o scurtă descriere a tehnologiile de efectuare a radiografiilor dentare de care dispunem la momentul actual. Aparatura este nouă, instalată în anul 2023.
CBCT-3D
Tomografie Computerizată cu Fascicul Conic este o tehnică avansată de imagistică dentară care furnizează imagini tridimensionale (3D) detaliate ale structurilor dentare și osoase.
TELERADIOGRAFIE
În special, în ortodonție, cefalometria este utilizată pentru a evalua și diagnostica discrepanțele osoase și dentare, precum și pentru a planifica tratamente ortodontice.
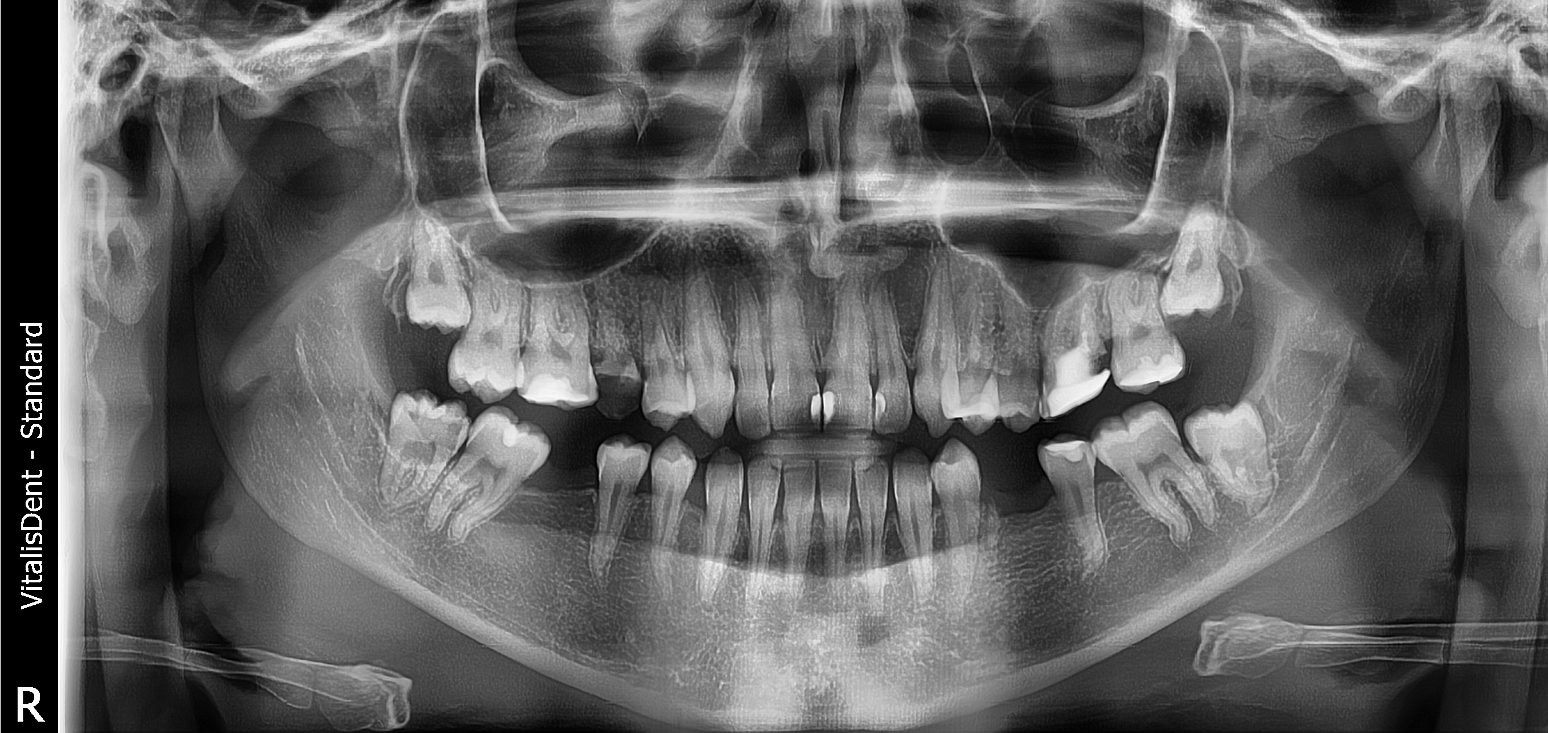
PANORAMIC
Investigație radiologica dentară care utilizează razele X pentru crearea unei imagini de ansamblu a întregii cavități orale.
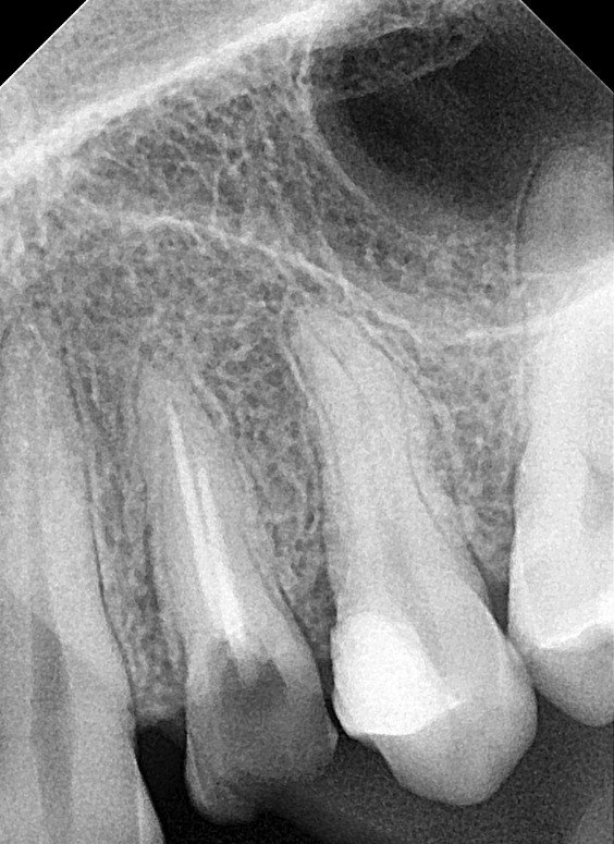
RX DENTAR
Sistem de ultima generatie, cu control automat al timpului de expunere, in functie de programul selectat; multiple programe presetate, in functie de detaliile anatomice ale pacientului, posibilitate operare cu senzor digital sau film.
Rezultat
Pentru un diagnostic precis și planificare personalizată a tratamentului, alege expertiza noastră în imagistică dentară. Contactează-ne astăzi pentru a descoperi ce stă în spatele zâmbetului tău!







